Orthodontists for children and adults in Buffalo, Getzville, and Springville, NY. We create, healthy beautiful smiles for every age.
LakeStone Orthodontics is a trusted orthodontic practice serving Western New York. Dr. Aabhar Patel and Dr. Victor Bochacki believe everyone deserves a confident, beautiful smile. At our practice, we treat each patient as a person, because learning about you and your life is one of the most rewarding parts of what we do! Schedule your complimentary consultation today at one of our offices in Buffalo, Getzville, or Springville.
Whether for your child or for yourself, we offer advanced orthodontic care designed for comfort and outstanding results.
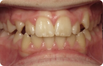
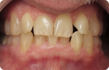
Traditional braces with modern comfort. Effective for all types of alignment issues.
Learn More →
Clear, removable aligners that straighten teeth discreetly without metal wires.
Learn More →
Custom hidden behind-the-teeth braces for a completely invisible treatment option.
Learn More →
Proactive care for children to guide jaw growth, create space, and prevent future issues.
Learn More →
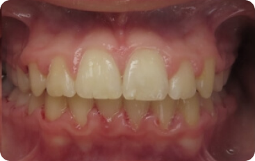
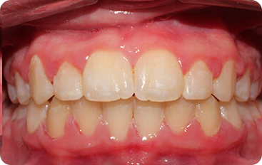
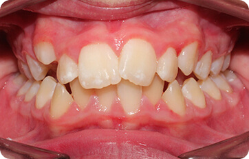
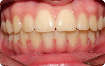
Getting a straighter smile is easier than you think. Here’s what to expect when you start treatment with LakeStone.
We'll take photos, x-rays, and a 3D scan of your teeth. Your orthodontist will discuss your goals and answer all your questions.
Dr. Patel or Dr. Bochacki will design a personalized treatment plan based on your unique smile, lifestyle, and budget.
Whether it's braces, Invisalign, or InBrace, we'll get you started and schedule regular check-ins to track your progress.
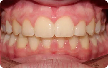
Treatment complete! We'll fit you with retainers to keep your smile perfect and celebrate your transformation.



Everything you need to know about starting your orthodontic journey with LakeStone Orthodontics.
Treatment costs vary depending on your specific needs. We offer free consultations and flexible payment plans to fit every budget.
Most treatments take 12-24 months, but every smile is different. We'll give you a personalized timeline during your consultation.
Absolutely not! We treat patients of all ages. Adult orthodontics is one of our specialties. It's never too late.
Yes! Invisalign can treat most orthodontic issues just as effectively as traditional braces.
The AAO recommends an evaluation by age 7. Early detection can make future treatment simpler and more effective.
Yes! Flexible monthly plans with no credit check, plus discounts for paying in full. We'll find a solution that works.
Schedule your free consultation today and take the first step towards the smile you’ve always wanted.
CHOOSE THE OFFICE TO CALL: